QCPRECISE™
Realize the true power of
molecular pathology
QCPRECISE™ helps clinical and reference labs increase diagnostic clarity, reduce inconclusive results, and expand their testable population—with fast, automated workflows.
How It Works:
The Scan—Print—Extract Workflow
QCPRECISE™ integrates seamlessly into your FFPE and H&E workflow. It transforms any annotated slide into a molecularly precise sample in six simple steps:

Here’s how QCPRECISE™ extracts maximum signal from
every sample
Accepts annotated images (AI-generated or manual) from multiple scanner platforms.
Converts annotations from stained slides into print files for tissue slides, at micron-level accuracy.
Prints a proprietary UV-curable polymer onto the regions that are not of interest, leaving target tissue unmasked.
Harvests only the exposed regions of interest directly on the slide
Produces lysates ready for purification with nucleic acid kits (Promega, Maxwell, Qiagen)
Processes up to 40 slides per hour via a automated workflow
PrintMatch™ software
From annotation to action.
PrintMatch translates digital or AI-generated annotations into precision print files, automatically correcting for slide-to-slide variation. It ensures every region of interest is aligned at the micron level—so molecular data reflects exactly what was seen under the microscope.
- Accepts annotations from multiple pathology platforms
- Micron-level alignment (<50µm precision)
- Automated rectification of tissue distortions
- Generates ready-to-print files for seamless downstream use
Masking print technology
Selective protection, precise exposure
Our custom inkjet system applies a propietary polymer that shields non-tumor tissue while leaving target regions exposed. This clean separation preserves samples integrity and enables precise, tumor-only extractions at scale.
- Proprietary biocompatible polymer mask
- High-resolution coverage with sharp edge fidelity
- 40 slides per hour throughput
- Compact, automated bench-top instrument
On-slide lysis
Unlocking pure molecular content
With the mask in place, our proprietary chemistry dissolves only the unprotected regions of interest—directly on the slide. This spatially targeted release produces enriched lysates that move straight into purification and multi-omic analysis.
- Spatially confined lysis of annotated regions
- Maintains sample purity while minimizing background noise
- Compatible with leading DNA/RNA purification kits
- Outputs ready-to-use lysates for genomics, transcriptomics, and proteomics

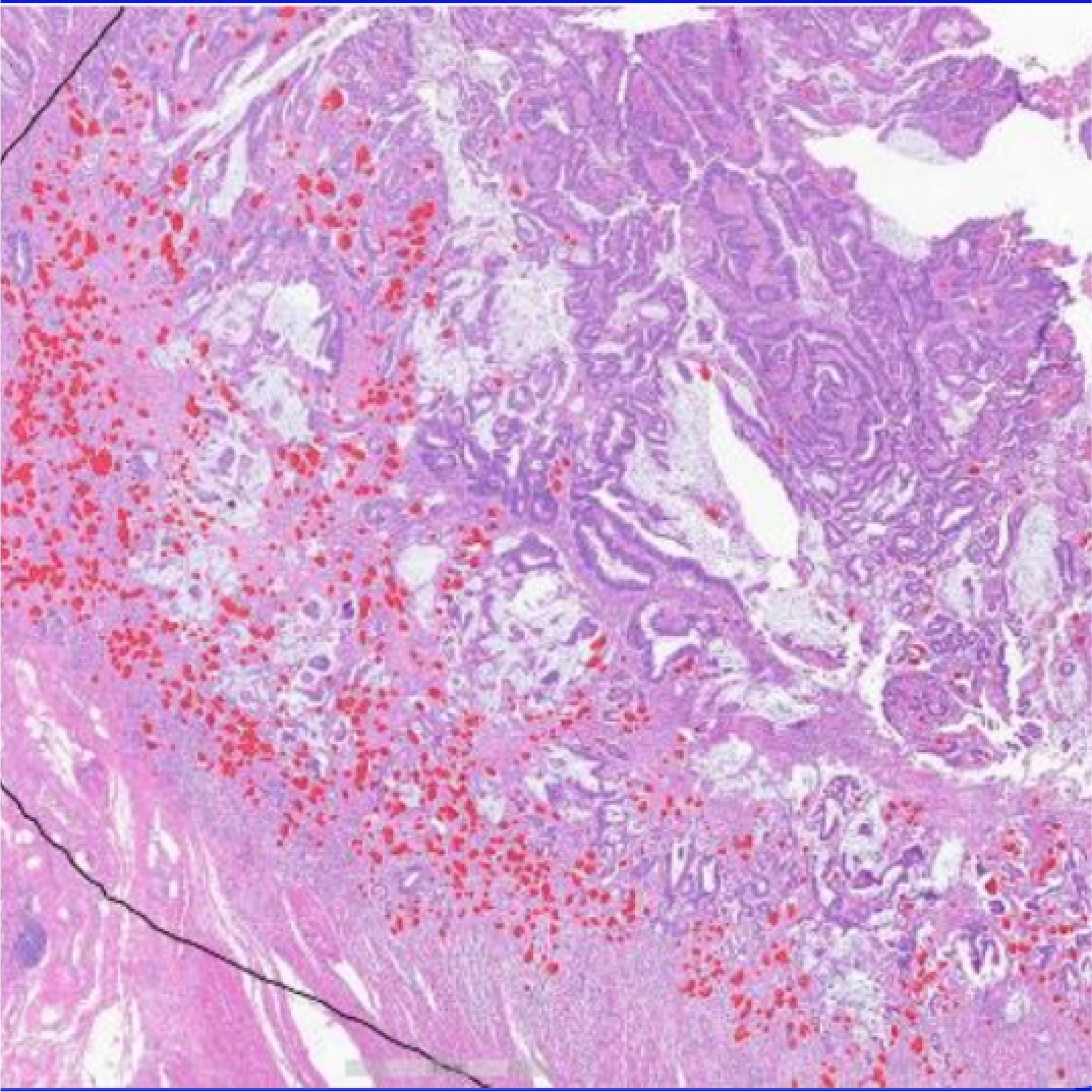
Annotated Tumor Buds

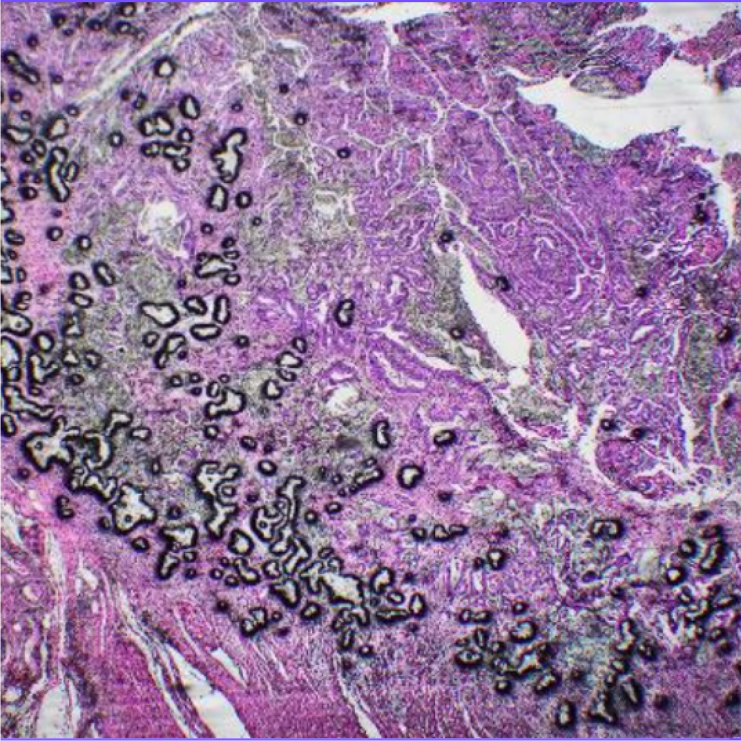
Lysed Tumor Buds
Clear Answers. Better Outcomes.